Introdução a Radiologia e Diagnóstico por Imagem
No que consiste a radiologia?
É uma especialidade médica, que se ocupa do uso das tecnologias de imagem para realização de diagnósticos.
São 3 anos de residência, além de um quarto ano opcional. Este quarto ano é focado em alguma região do corpo (neurorradiologia, cabeça e pescoço, tórax, abdome, sistema musculoesquelético, mama ou intervenção).
Os exames radiológicos fazem parte dos exames complementares, em conjunto com exames laboratoriais, EEG, ECG, endoscopia, colonoscopia, etc.
Dentre os exames radiológicos mais comuns, podemos citar: raio-X, ultrassom, tomografia computadorizada e ressonância magnética.
Cabe ao médico radiologista:
- Auxiliar e orientar a aquisição das imagens dos exames. Ele orienta, por exemplo, como um exame de tomografia computadorizada deve ser realizado (quais fases serão obtidas, se será necessário contraste via oral, decúbito ventral, dentre outros).
- Realizar os exames de ultrassom. Os demais exames são realizados por técnicos de radiologia ou biomédicos.
- Emitir o laudo escrito dos exames de raio-X, ultrassom, tomografia computadorizada, ressonância magnética e PET-CT.
- Discutir os exames realizados com os médicos solicitantes. A informação falada traz muito mais nuances do que a escrita. Pegue, como exemplo, uma conversa com seus amigos. Sem dúvida alguma, existe uma maior troca de informações em um bate-papo cara-a-cara do que pelo WhatsApp. O mesmo vale para os exames radiológicos.
- Auxiliar na elaboração de protocolos de segurança para o serviço. Aqui o radiologista ajuda a definir em quais situações o paciente se beneficia de um preparo anti-alérgico para realizar os exames, quais materiais metálicos são contra-indicados na ressonância magnética, qual o fluxo de atendimento para intercorrências, etc.
Como devo encarar a participação dos exames radiológicos na condução de um paciente?
A histórica clínica, em conjunto com o exame físico, deve trazer informações suficientes para que o médico formule hipóteses diagnósticas. Fazendo a analogia com um quebra-cabeças, grande parte das peças tem que ser montadas nesta etapa.
As peças "faltantes" são montadas a partir de informações trazidas pelos exames complementares: os dados clínicos trazidos pelo laboratório monta mais algumas peças, as infomrações da colonoscopia mais algumas e, por fim, o mesmo ocorre com a radiologia.
Não devemos encarar uma tomografia computadorizada, por exemplo, como um exame que trará todas as respostas, o gabarito do caso. Em nossa analogia, seria o mesmo que esperar que este exame trouxesse a figura final já montada.

Qual o papel dos exames de imagem na condução de um caso?
Ao solicitar um exame de imagem, pode-se esperar que:
- o exame confirme a sua hipótese diagnóstica
- reduza o número de hipóteses diagnósticas (estreite o diagnóstico diferencial)
- avalie a gravidade da doença (estadie a doença / lesão)
- localize a lesão
- auxilie no planejamento terapêutico
Vamos ilustrar como isto ocorre?
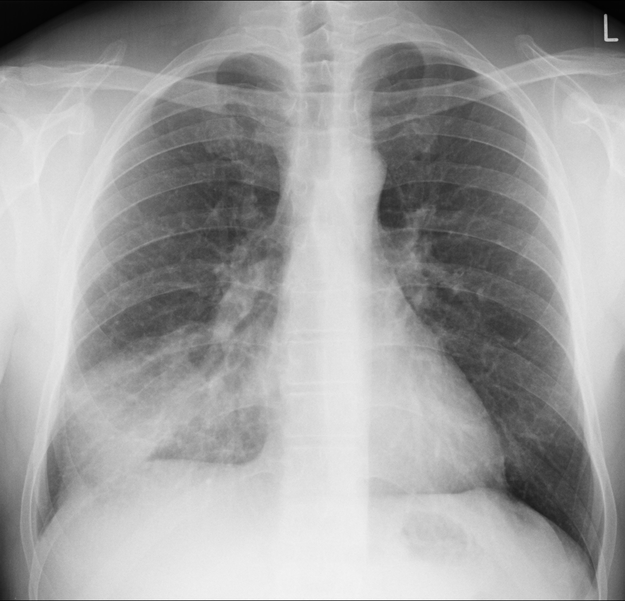
Você atende um paciente de 30 anos, do sexo masculino, com diagnóstico de tosse e febre há 2 dias. A tosse é produtiva, acompanhada de uma febre de 39ºC. Há um dia houve piora do quadro, com dispnéia, mal-estar e inapetência.
O exame físico demonstra que o paciente está dispneico, e febril, com estertores crepitantes na base pulmonar direita. Os exames laboratoriais demonstram uma leucocitose, com desvio.
Frente ao caso ilutrado, já formulamos uma hipótese diagnóstica: pneumonia.
Já temos em mente também o exame a ser solicitado - um raio-X de tórax.

A radiografia acima demonstra um infiltrado de aspecto alveolar, pelo seu aspecto algodonoso, localizado no lobo médio. Este padrão alveolar basicamente confirma a nossa hipótese diagnóstica de pneumonia.
Temos neste primeiro caso, portanto, um exemplo de como um exame radiológico pode te ajudar a confirmar uma hipótese diagnóstica.
Nem sempre um exame de imagem consegue confirmar um diagnóstico.
E nem por isto ele deixa de ser útil. Vamos ao próximo caso.
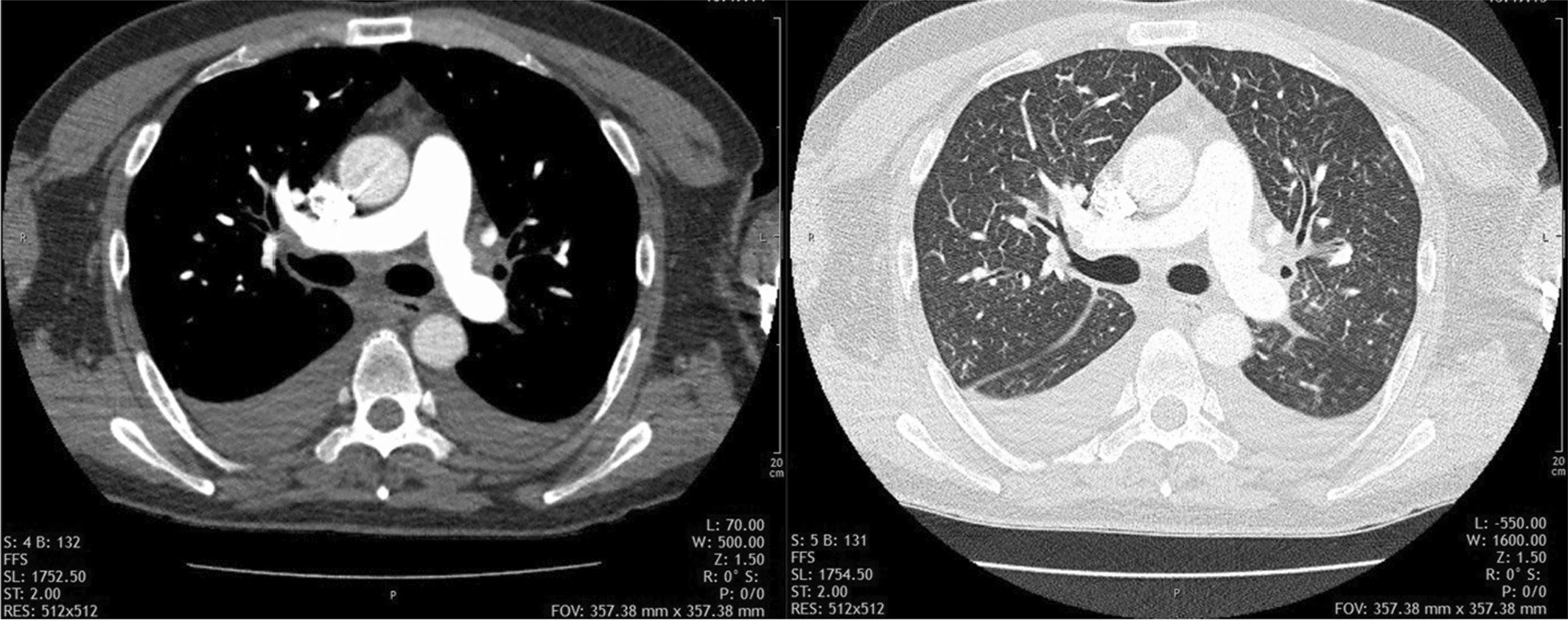
Você atende um caso de uma paciente de 52 anos, do sexo masculino, com tosse crônica, evoluindo com dispnéia aguda. Queixava-se também de dor abdominal e perda de peso, estimada em 8 kgs nos últimos 8 meses¹.
Ao fim do atendimento, você formula muitas hipóteses diagnósticas: tromboembolismo pulmonar (TEP), edema pulmonar, pneumonia, metástases, pneumotórax e derame pleural.... E solicita um exame de angiotomografia computadorizada com protocolo para TEP para te auxiliar na condução do caso.

Embora o exame de angiotomografia com protocolo TEP não tenha confirmado um diagnóstico, ele auxiliou a excluir algumas hipóteses:
- Não haviam sinais de tromboembolismo pulmonar
- Não se observavam focos de consolidação sugestivos de pneumonia
- Não haviam sinais de pneumotórax
- Não se observavam nódulos pulmonares sugestivos de metástases
Frequentemente, um exame radiológico não consegue confirmar um único diagnóstico, mas fornece informações complementares para que o médico assistente possa excluir algumas hipóteses e corroborar outras.
Já tenho um diagnóstico, mas gostaria de saber o quão grave é.
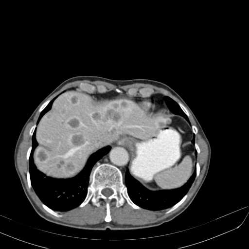
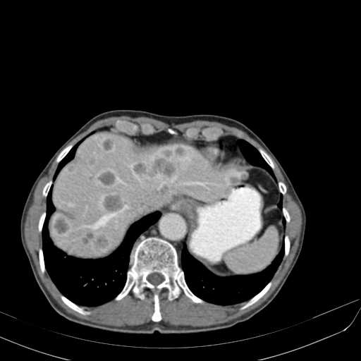
Existem algumas situações onde o paciente já apresenta um diagnóstico bem definido e o exame é solicitado para se avaliar a gravidade do quadro. Como, por exemplo, em uma paciente de 55 anos, do sexo feminino, com câncer de cólon recém-descoberto. Uma tomografia computadorizada de abdome é solicitada para avaliação do quadro.

A tomografia computadorizada demonstra múltiplos nódulos hepáticos difusos pelo fígado, compatíveis com metástases.
Este é um exemplo de como um exame de imagem pode ser solicitado para um paciente que, embora já tenha um diagnóstico bem definido, necessita de avaliação da extensão do acometimento de sua doença.
Em algumas condições, a localização exata da alteração é fundamental para tomada de conduta.
Como, por exemplo, em uma criança de 5 anos que acabou de engolir uma moeda. Qual especialista deve ser chamado para avaliar este caso? O cirurgião torácico? O cirurgião gastro? Para responder esta pergunta, devemos localizar onde a moeda está localizada.

A radiografia obtida do paciente demonstra que a moeda (imagem ovalada, com densidade de metal) está localizada no estômago. Com esta informação, podemos prosseguir na condução do caso.
Este caso é um exemplo de como os exames de imagem podem ser utilizados para localização de uma lesão ou uma alteração, auxiliando nas tomadas de decisão.
Por fim, os exames de imagem podem ser utilizados para auxiliar no planejamento terapêutico.
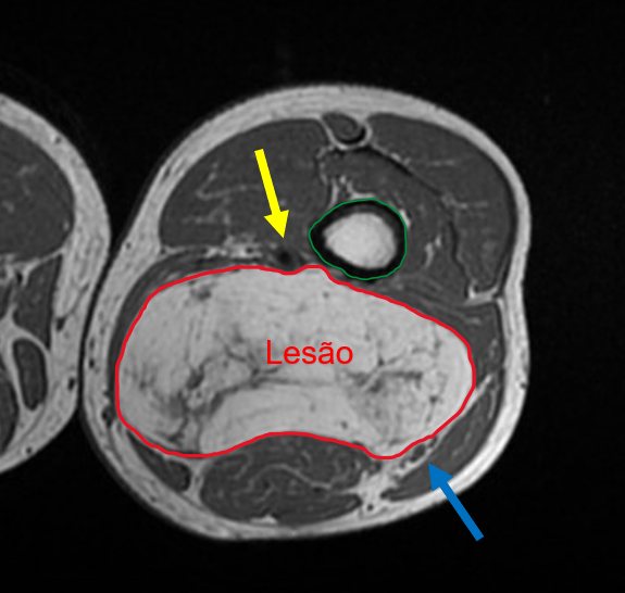
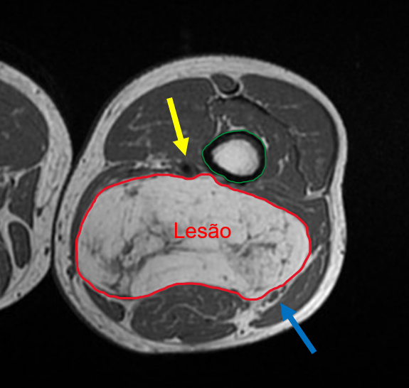
Você acompanha um caso, de um paciente de 70 anos, do sexo masculino, com abaulamento na região posterior da coxa há 6 meses, com crescimento progressivo. Este paciente já realizou exames de imagem, que constataram uma lesão com conteúdo de gordura em meio à musculatura da coxa, com diagnóstico presuntivo de lipossarcoma.
Mesmo com o diagnóstico presuntivo em mãos, uma ressonância magnética foi solicitada, para planejamento pré-operatório. Como cirurgião do caso, é fundamental que você compreenda a relação deste tumor com as estruturas adjacentes, com o objetivo de planejar o seu procedimento.

Nesta imagem de ressonância magnética da coxa, temos a lesão sugestiva de lipossarcoma (circundada pela linha vermelha), localizada em meio à musculatura da região posterior da coxa. Esta lesão desloca as estruturas musculares adjacentes e, apesar de apresentar proximidade, não invade o fêmur (circundado pela linha verde). A lesão faz contato com os vasos femorais superficiais (seta amarela) e com o nervo ciático (seta azul), porém sem sinais de invasão.
De posse das informações trazidas pelo exame, o seu procedimento cirúrgico será mais assertivo. Você iniciará a ressecção deste tumor sabendo quais estruturas invade e com quais estruturas nobres (vasos e nervos) faz contato.
Temos aqui mais um exemplo de como um exame de imagem pode auxiliar o médico do paciente, no caso para o planejamento terapêutico do paciente.
Sendo assim...
- Discutimos no artigo o que faz um médico radiologista e qual o tempo para sua formação.
- Ilustramos o papel dos métodos diagnósticos na condução dos pacientes:
- Confirmar um diagnóstico
- Reduzir o número de hipóteses diagnósticas
- Avaliar a gravidade de uma doença
- Localizar uma lesão
- Auxiliar no planejamento terapêutico
Referências:
- Engel, J., Auer, J. Pulmonary tumour embolism and lymphangitis carcinomatosa: a case report and review of the literature. J Cardiothorac Surg17, 105 (2022).